موبايل/ واتساب: 01206575475

دكتورأحمد عرفات استشارى جراحة الأوعية الدموية عضو كلية الجراحين الأمريكية
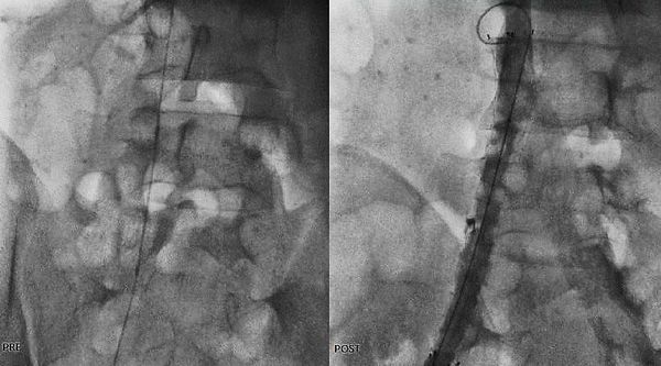
جراح أوعية دموية متخصص في علاج الوحمات الدموية للأطفال - انسداد الشرايين - قدم السكري والغرغرينا -علاج دوالي الساقين بالليزر
موبايل/ واتساب: 01206575475

جراح أوعية دموية متخصص في علاج الوحمات الدموية للأطفال - انسداد الشرايين - قدم السكري والغرغرينا -علاج دوالي الساقين بالليزر



































































































































































تقدم عيادة الأوعية الدموية خدمة فحص الدوبلر الملون (دوبلكس) للأوعية الدموية والتشخيص الدقيق باستخدام احدث الأجهزة
Chison Q-Bit 9 Doppler Quantum Imaging
إجراء الكشف و فحص الدوبلر في زيارة واحدة
دكتور/ أحمد عرفات
استشاري جراحة الأوعية الدموية و القسطرة التداخلية الطرفية
مهمتنا هي تقديم رعاية صحية عالية الجودة. نحن ملتزمون بتحسين صحتكم والحفاظ عليها من خلال الرعاية الوقائية والعلاجية
تقدم عيادة الأوعية الدموية خدمات التشخيص والمتابعة بالعيادة ، بينما يتم إجراء العلاج التداخلي والجراحي داخل مستشفيات عالية الجودة بالقاهرة
اهتمام متميز بالتفاصيل و الخصوصية
This website uses cookies. By continuing to use this site, you accept our use of cookies.